みなさんこんにちは。愛知県一宮市にある長坂歯科矯正歯科の歯科衛生士福岡です😃
当院では去年の8月からお子さんの正しい成長発育を促す
マイオブレース(MRC)矯正を導入しました。
___________________________
皆さんのお子さまでこのような症状はありませんか?
⬜︎乳歯が隙間なく綺麗に並んでいる
⬜︎歯並びや噛み合わせが気になる
⬜︎お口がポカンと開いている
⬜︎風邪をひきやすい
⬜︎姿勢が悪い
⬜︎じっと座っていられない
⬜︎集中力がない
⬜︎いびきや歯ぎしりをする
⬜︎滑舌が悪い
⬜︎よく鼻がつまる
⬜︎ストローをよく使う
⬜︎指しゃぶりが長かった
⬜︎食事に時間がかかる
⬜︎ハイハイの期間が短くすぐに掴まり立ちした
___________________________
実はこれらの症状もしかしたら
口腔機能発達不全症によるものかもしれません。
◎口腔機能発達不全症とは…
18歳未満の子どもで生まれつき障害がないにもかかわらず
噛む、飲み込む、発音するなどのお口の機能が十分に発達していない状態を指します。
・口呼吸の習慣
・間違った舌の位置
・間違った飲み込み方
・楽に口が閉じない
これらの習癖は歯並びに影響を与えるだけでなく、
顔つきや顎の成長阻害・呼吸機能の低下・いびきや睡眠障害
集中力の低下・むし歯や歯周病になりやすくなる・猫背・滑舌が悪いなど
口の中の問題だけでなく全身の健康へ影響することが分かっています。
◎マイオブレース(MRC)矯正って?
マイオブレース(MRC)矯正とは、歯にかかる過剰な頬、舌、唇からの圧力をブロックし正しい筋機能を獲得するマウスピース型の補助装置の使用と、歯並びを悪くする根本原因である口腔習癖癖を改善するためのトレーニングを行い自然な歯並びと正しい顎の成長を促す予防矯正治療法です。

◎マイオブレース矯正の特徴
・目立ちにくく痛みが少ない
マイオブレースは柔らかい素材で出来ているので痛みはほとんどなく、小さなお子さんでも抵抗なく使っていただきやすい装置です。
歯や顎自体を動かす装置ではないので筋肉のバランスを整え自然な本来の位置に歯を導きます。
着用時間が日中に1〜2時間と就寝中のみなので取り外しが可能で学校に着けていく必要もありません。
・根本原因の解決
歯並びが悪くなる原因は生まれつきの遺伝によるものと、生活習慣による後天的なものがあります。
遺伝や骨格によるものはⅠ期治療で顎を広げる装置や、抑制する装置などで顎や歯そのものを動かし綺麗に並んだ歯並びの獲得を目指します。
マイオブレース治療は綺麗に並んだ歯並びを目的にしておらず、
歯並びを悪くする癖を改善し顎の健全な成長をうながすことが最大の目的です。
歯並びが悪くなる根本原因を解決するため後戻りもほとんどなく、自然な歯並び以外にも姿勢や集中力の改善、理想的な顎顔面の成長にもアプローチします。

・早期開始が可能
マイオブレース治療は主に5歳から治療の開始が可能です。
一番効果が発揮されやすいのは上顎の成長がピークを迎える6、7歳ですが当院では適応があれば10歳頃まで治療が可能です。
適応があるかどうか、今の歯並びにどんな問題点があるのか気になる方は毎日無料相談を行なっておりますのでお気軽にお問い合わせくだい。
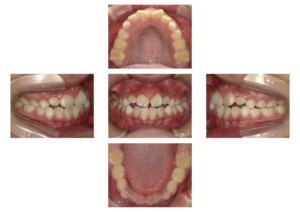
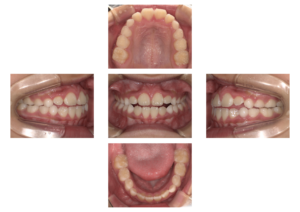
◎当院での症例

↓ 治療開始から6ヵ月

7歳の女の子の治療経過です。
低位舌と口唇閉鎖不全、逆嚥下がみられ歯並びは上唇の口唇閉鎖力が足らず上の前歯に隙間ができ、間違った飲み込み方による頬や唇からの圧力で上顎が狭く下の前歯のがたつきが見られました。
治療開始から半年で上の前歯の隙間と下の前歯ののがたつきの改善が見られ、上顎のスペースは+2.0mmでした。
まだまだ治療途中ですが今後の更なる改善に期待しています。
またマイオブレース治療しばらくしてから3者面談で授業中の集中力が上がったことを褒められた子もいらっしゃいます。
口呼吸は鼻呼吸に比べて1回の呼吸で取り込む酸素の量が少ないため、脳の酸素不足は集中力や注意力を低下させ学習能力に影響を与えるおそれがあります。
また口呼吸は前頭葉の活動が慢性的に休まらない状態が続くため呼吸と脳の発育には密接な関係があります。
マイオブレースは綺麗に並んだ歯並びを目的にしておらず、
健全な全身の成長発育が目的なのでこのような問題点にもアプローチできるのも特徴です。
当院のHPにもマイオブレースの概要がチェックできますので
こちら から是非ご覧くださいね。